時間:2024-04-09 23:17:58 來源:www.tjdxxbzrkx.cn 作者:珍美網 瀏覽量:
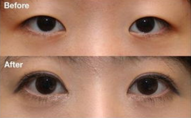
眼睛的美可以使美容愛好者的面部形象更加精致和美麗。然而,由于先天遺傳因素,一些人有單眼皮,這使整個人看起來遲鈍。現在你可以選擇性埋線雙眼皮手術,以獲得理想的雙眼皮效果。埋線雙眼皮手術后,建議美容愛好者保持手術部位干燥清潔,避免吃辛辣刺激性食物,避免感染,影響術后恢復和效果。做好相應的護理工作可以加快術后恢復,有利于術后效果。

埋線雙眼皮術后護理
1.局部傷口術后可加壓包扎或用冰袋冷敷,但壓力不宜過大,以免損傷眼睛。術后出血不止,血腫嚴重,應及時到醫院復診;
2證手術部位清潔,防止感染。若傷口上有血痂或分泌物,可用無菌鹽水擦拭;
3.盡量避免手術部位沾水;
4、術后2周內不要看電視、報紙,臥床休息時最好半臥位(把枕頭墊高),以免眼睛過度疲勞或頭部位置過低而加重傷口腫脹;
5.避免吃辣椒等刺激性食物;嚴格按照醫生的指示服藥和隨訪。
以上是埋線雙眼皮手術的一些術后注意事項。手術前,美容愛好者應在進行手術前檢查身體狀況,確定身體健康,這有利于避免一些副作用。手術前,美容愛好者應清潔眼部皮膚,與整形外科醫生溝通,盡量制定一致的手術計劃。